Случай нестабильности вкладыша эндопротеза тазобедренного сустава
12 года 7 мес. назад #1361
от Emik
Emik создал эту тему: Случай нестабильности вкладыша эндопротеза тазобедренного сустава
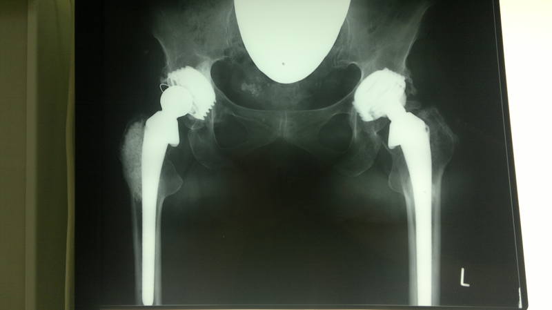
Попытаюсь разбавить зависшую на форуме тишину представлением случая, который закончился ревизионным эндопротезированием.<br /><br />Женщина 60 лет была оперирована в связи с двухсторонним диспластическим коксартрозом 3 степени 19 лет назад. Выполнено тотальное безцементное и комбинированное эндопротезирование с интервалом в 1 год. Около 1,5 лет назад появилась боль в паху, что явилось причиной обращения к ортопеду. При выполнении рентгенограммы была выявлена следующая картина:<br /><br />
<br /><br />Выставлен диагноз Состояние после двухстороннего ТЭТС. Асептическая нестабильность вкладыша эндопротеза справа. Да вот беда - эти эндопротезы уже сняты с производства... и вкладышей таких нет. Ревизионное эндопротезирование поэтому представляет непростую задачу...
Последнее редактирование: от Emik.
Пожалуйста Войти или Регистрация, чтобы присоединиться к беседе.
- ortoped1984
-
- Не в сети
- Осваиваюсь на форуме
-
Меньше
Больше
- Сообщений: 28
- Спасибо получено: 0
12 года 7 мес. назад - 12 года 7 мес. назад #1362
от ortoped1984
ortoped1984 ответил в теме Re: Случай нестабильности вкладыша эндопротеза тазобедренного сустава
Привет! Да, случай инересный. Есть ряд вопросов по нему. С какой стороны было комбинированное эндопротезирование и что цементировалось (или что имеется ввиду под комбинированным?)? Вывихов не было? Неплохо бы взглянуть динамику снимков и снимок с захватом ножки протеза, есть большие сомнения в ее стабильности. <br />Ну а так, если есть износ вкладыша и нет возможности его подобрать, то ревизия всего тазового компонента думаю неизбежна. А как рашили проблему?
Последнее редактирование: 12 года 7 мес. назад от ortoped1984.
Пожалуйста Войти или Регистрация, чтобы присоединиться к беседе.
12 года 7 мес. назад #1364
от Emik
Emik ответил в теме Re: Случай нестабильности вкладыша эндопротеза тазобедренного сустава
Отвечаю на вопросы по порядку.<br /><br />
<br /><br />
<br /><br />Привет!<br />Привет! <br />


<br />С этой же стороны в области большого вертела цемент. <br /><br />С какой стороны было комбинированное эндопротезирование и что цементировалось (или что имеется ввиду под комбинированным?)?
<br />Не было.<br /><br />Вывихов не было?
<br /><br />Динамику снимков не покажу, т.к. все они остались в поликлинике. А снимок с ножкой см. ниже. В стабильности ножки и кольца можно не сомневаться - нет признаков нестабильности как на снимках, так и во время операции.<br /><br /> <br /><br />Неплохо бы взглянуть динамику снимков и снимок с захватом ножки протеза, есть большие сомнения в ее стабильности.
<br /><br />Ревизия всего тазового компонента не проводилась. Кольцо осталось, т.к. оно без признаков нестабильности и его позиция не вызывает сомнений.<br />Удален был старый вкладыш и поставлен новый, от другого протеза и на цемент. О как!<br /><br />Послеоперационные снимки постараюсь найти и выложить в этой теме.<br />Ну а так, если есть износ вкладыша и нет возможности его подобрать, то ревизия всего тазового компонента думаю неизбежна. А как рашили проблему?
Последнее редактирование: от Emik.
Пожалуйста Войти или Регистрация, чтобы присоединиться к беседе.
- ortoped1984
-
- Не в сети
- Осваиваюсь на форуме
-
Меньше
Больше
- Сообщений: 28
- Спасибо получено: 0
12 года 7 мес. назад #1366
от ortoped1984
ortoped1984 ответил в теме Re: Случай нестабильности вкладыша эндопротеза тазобедренного сустава
Да, тактика весьма своеобразная. Я видел многое - и как бесцементные ножки при ревизии просто переставляли на цемент и как ввинчивающиеся чашки ставили на цемент, но чтоб вкладыш ставили на цемент ...
Последнее редактирование: от ortoped1984.
Пожалуйста Войти или Регистрация, чтобы присоединиться к беседе.
12 года 7 мес. назад #1368
от Emik
Emik ответил в теме Re: Случай нестабильности вкладыша эндопротеза тазобедренного сустава
Ну, вот, признаю свою ошибку и прошу прощения за то, что ввел в заблуждение насчет комбинированного протезирования. На контрольном снимке после операции четко видно, что это не цемент в области большого вертела, как мне показалось сразу, а обычная кость, просто как-то слегка странно выглядит.<br /><br />Вот послеоперационный снимок:<br /><br />
Последнее редактирование: от Emik.
Пожалуйста Войти или Регистрация, чтобы присоединиться к беседе.
Время создания страницы: 0.144 секунд